High Altitude Pulmonary Edema: Day 1

Ellen Asselin and John Rose, MD
Full description
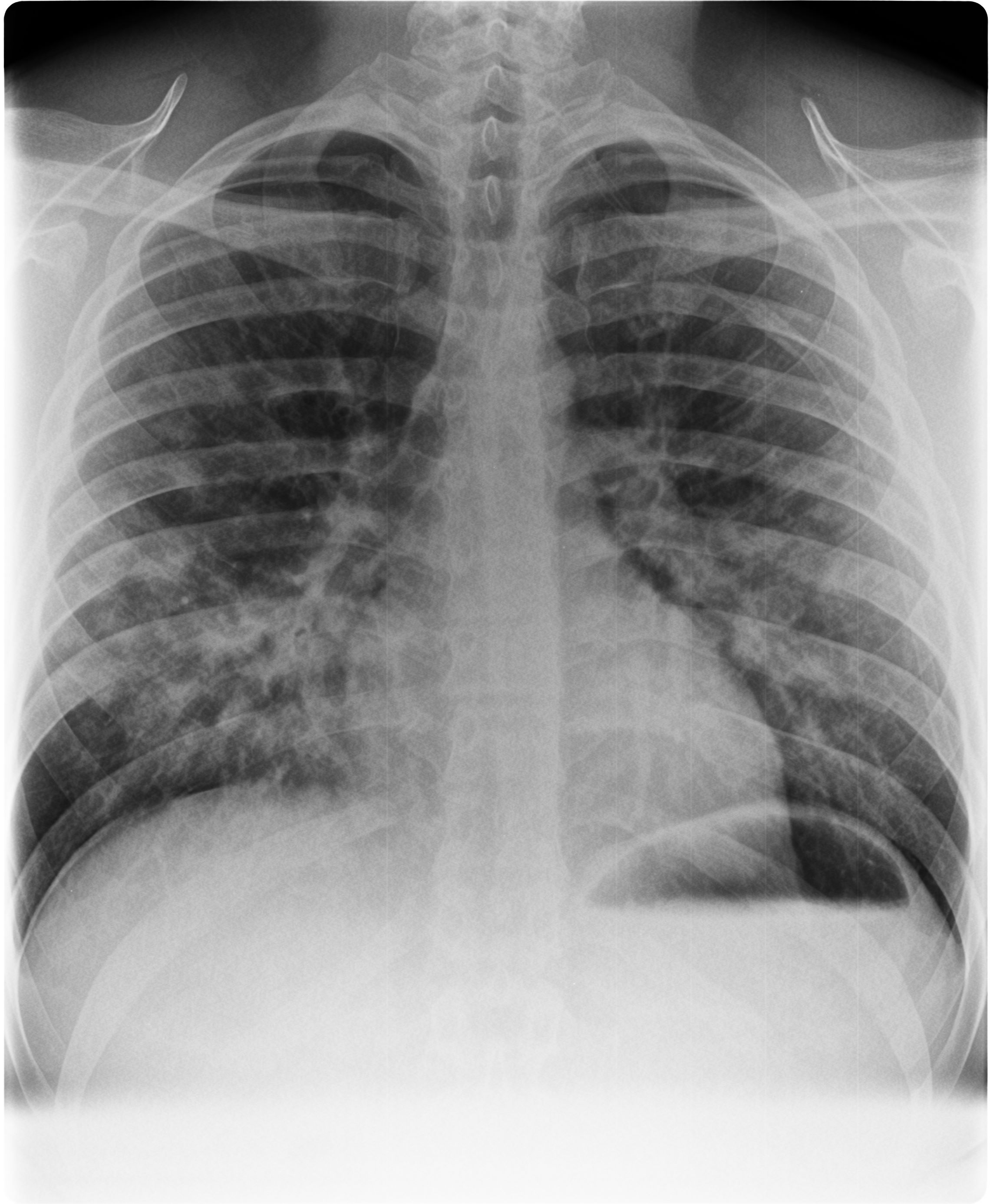
Day 1 after of presentation, Patchy interstitial infiltrates in R middle lobe
Download image “High Altitude Pulmonary Edema: Day 1”
- typeImage
- created on
- file formatjpg
- file size507 KB